症例一覧

最新記事

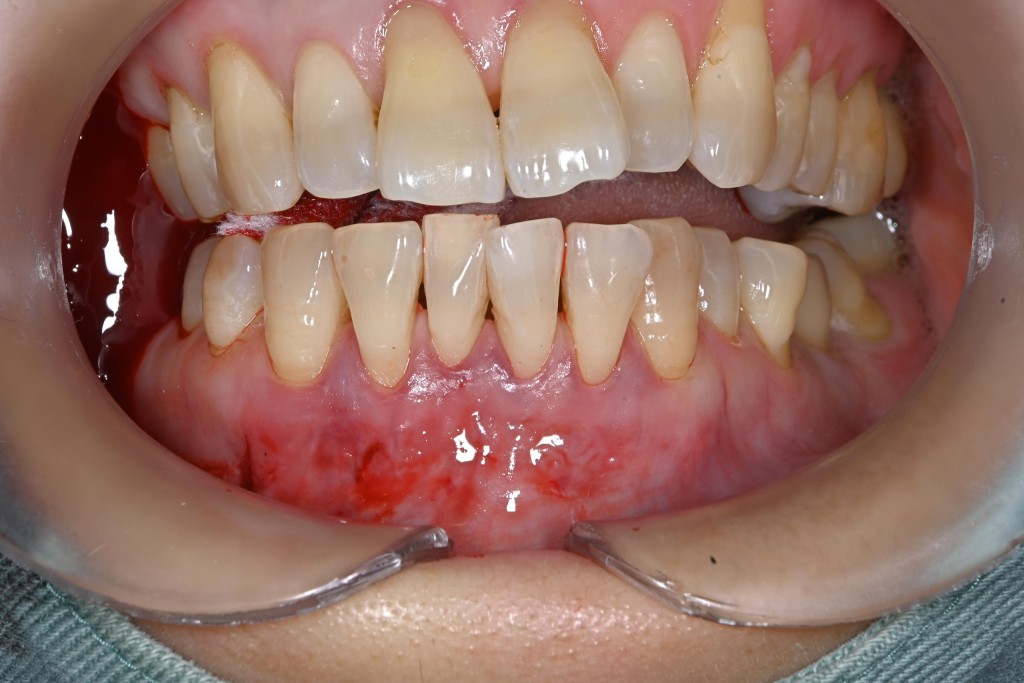
上顎歯肉退縮治療の症例

歯肉退縮

2023/12/13

上顎歯肉退縮治療の症例

皆さんこんにちは。大阪府門真市京阪沿線西三荘駅から徒歩2分、門真市・守口市で根管治療・インプラント治...

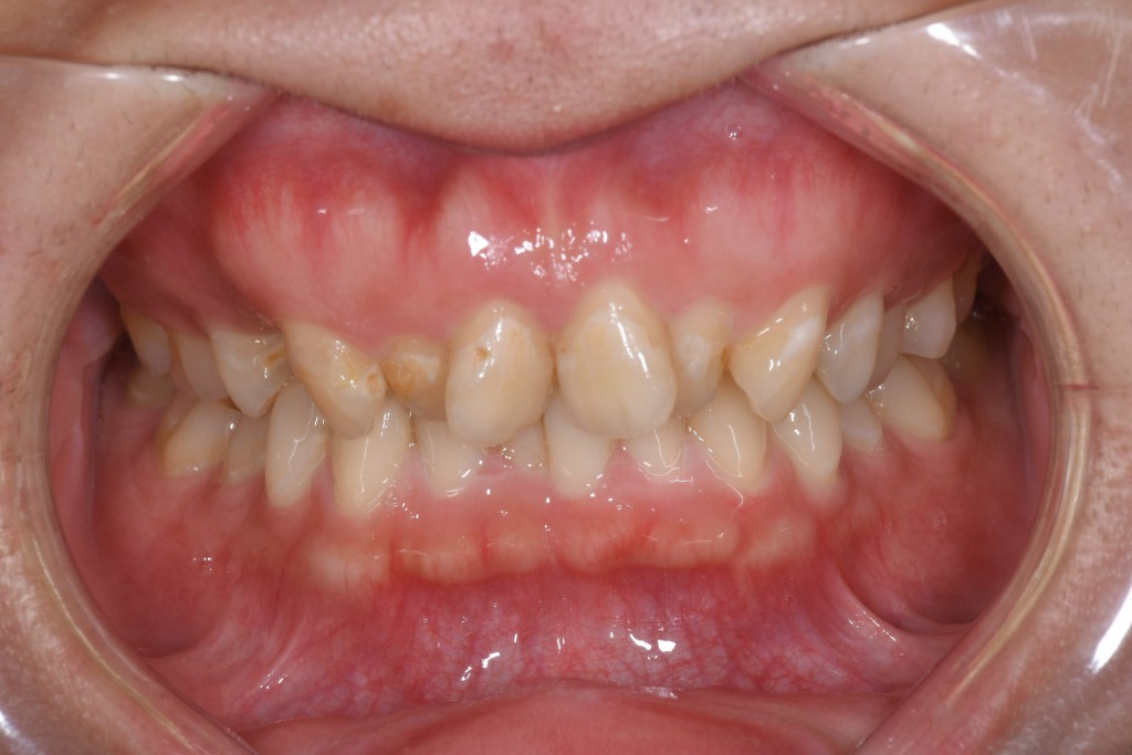
下顎歯肉退縮治療の症例

歯肉退縮

2023/12/13

下顎歯肉退縮治療の症例

皆さんこんにちは。大阪府門真市京阪沿線西三荘駅から徒歩2分、門真市・守口市で根管治療・インプラント治...

上顎歯肉退縮治療の症例

歯肉退縮

2023/12/13

上顎歯肉退縮治療の症例

皆さんこんにちは。大阪府門真市京阪沿線西三荘駅から徒歩2分、門真市・守口市で根管治療・インプラント治...

下顎歯肉退縮治療の症例

歯肉退縮

2023/12/13

下顎歯肉退縮治療の症例

皆さんこんにちは。大阪府門真市京阪沿線西三荘駅から徒歩2分、門真市・守口市で根管治療・インプラント治...

奥歯のインプラント治療

インプラント

2023/12/07

奥歯のインプラント治療

皆さんこんにちは。大阪府門真市京阪沿線西三荘駅から徒歩2分、門真市・守口市で根管治療・インプラント治...

参考までに通常の技工所のインプラント症例

インプラント

2023/12/07

参考までに通常の技工所のインプラント症例

皆さんこんにちは。大阪府門真市京阪沿線西三荘駅から徒歩2分、門真市・守口市で根管治療・インプラント治...

上顎、下顎へのインプラント治療

インプラント

2023/12/07

上顎、下顎へのインプラント治療

皆さんこんにちは。大阪府門真市京阪沿線西三荘駅から徒歩2分、門真市・守口市で根管治療・インプラント治...

奥歯のインプラント治療

インプラント

2023/12/07

奥歯のインプラント治療

皆さんこんにちは。大阪府門真市京阪沿線西三荘駅から徒歩2分、門真市・守口市で根管治療・インプラント治...

下顎へのインプラント症例(デジタル複合)

インプラント

2023/10/31

下顎へのインプラント症例(デジタル複合)

皆さんこんにちは。大阪府門真市京阪沿線西三荘駅から徒歩2分、門真市・守口市で根管治療・インプラント治...

ガタガタ歯並び(叢生)のインビザライン矯正

インビザライン矯正 ガタガタ

2023/09/21

ガタガタ歯並び(叢生)のインビザライン矯正

皆さんこんにちは。大阪府門真市京阪沿線西三荘駅から徒歩2分、門真市・守口市で根管治療・インプラント治...