インプラント

最新記事

口腔インプラント専門医認定書

The American Academy of Implant Dentistry

インプラント

2024/04/18

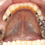
奥歯のインプラントの症例

皆さんこんにちは。 大阪府門真市京阪沿線西三荘駅から徒歩2分、門真市・守口市で根管治療・インプラント...

インプラント

2024/04/17

下顎のインプラントの症例

皆さんこんにちは。 大阪府門真市京阪沿線西三荘駅から徒歩2分、門真市・守口市で根管治療・インプラント...

インプラント

2024/04/16

奥歯のインプラントの症例

皆さんこんにちは。 大阪府門真市京阪沿線西三荘駅から徒歩2分、門真市・守口市で根管治療・インプラント...

インプラント

2024/04/15

奥歯のインプラントの症例

皆さんこんにちは。 大阪府門真市京阪沿線西三荘駅から徒歩2分、門真市・守口市で根管治療・インプラント...

インプラント

2024/04/12

奥歯のインプラントの症例

皆さんこんにちは。 大阪府門真市京阪沿線西三荘駅から徒歩2分、門真市・守口市で根管治療・インプラント...

インプラント

2024/04/11

奥歯のインプラントの症例

皆さんこんにちは。 大阪府門真市京阪沿線西三荘駅から徒歩2分、門真市・守口市で根管治療・インプラント...

インプラント

2024/04/10

奥歯のインプラントの症例

皆さんこんにちは。 大阪府門真市京阪沿線西三荘駅から徒歩2分、門真市・守口市で根管治療・インプラント...

インプラント

2024/04/09

奥歯のインプラントの症例

皆さんこんにちは。 大阪府門真市京阪沿線西三荘駅から徒歩2分、門真市・守口市で根管治療・インプラント...

インプラント

2024/04/08

奥歯のインプラントの症例

皆さんこんにちは。 大阪府門真市京阪沿線西三荘駅から徒歩2分、門真市・守口市で根管治療・インプラント...

インプラント

2024/04/05

奥歯のインプラントの症例

皆さんこんにちは。 大阪府門真市京阪沿線西三荘駅から徒歩2分、門真市・守口市で根管治療・インプラント...