※初回はカウンセリングが主となりますので、
予約をとりやすくさせていただいております。
インプラント治療をお考えの患者様へ
当院ではUCLAで学んだ日米インプラント専門医、世界販売本数1位のインプラントメーカー(Osstem社)講師の菅が
患者様のカウンセリングから手術まで、責任を持ってインプラント治療を担当しています。
世界トップクラスの歯学部として知られるUCLA(カリフォルニア大学ロサンゼルス校)の研修プログラム「Advanced Knowledge in Periodontics and Implant Dentistry」を修了。単なる講義形式ではなく、世界的権威の教授陣から最新の理論と臨床技術を直接学び、実践的なトレーニングを受けています。患者さまに安心して治療を受けていただくために、国際基準の知識と技術を身につけ、日々の治療に活かしています。
治療の前に
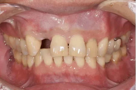
インプラントは歯を失った際に適用する治療です。
そのため、当院では保存の道が残されている歯に対してインプラント治療をお勧めすることはありません。
精密な診査診断を行い、根管治療や歯周治療などの基本治療を行なっても治療が期待できないケースにのみ適用します。
歯が残せる希望のある方は、残すことを優先した治療を進めます。
他院でインプラントの診断を受けた方もご相談ください。
インプラントは、歯を失った際に適応する補綴治療です。そのため当院では、保存の道がまだ残されている歯に対して、インプラント治療をおすすめすることはありません。実際、根管治療や歯周病治療を行うことで、歯を残せるケースは予想以上に多いものです。 精密な診査診断を実施し、基本治療によっても治癒が期待できないケースにこそ、インプラントが適応されるべきだと考えております。ですから、インプラント治療を希望される患者さまでも、場合によっては、歯を残すことを優先するその他の治療をおすすめさせていただきます!
トロント大学での根管治療プログラムでの症例経験がある医師が担当します。
当院だからこそ残せる歯があるかもしれません。
日米インプラント学会専門医
世界販売本数1位のインプラントメーカー(Osstem社)講師による
当院では、患者様の状態に合わせて「骨の再生治療」
を行いより多くの症例に対処致します。
ソケットリフトとは、歯が生えていた部分からアプローチする骨造成法です。骨の高さが不足している部位に人工骨や自家骨を移植して、インプラント体を安全に埋入できる状態を確保します。サイナスリフトと比べると傷口が小さく、処置にかかる時間も短いことから、痛みや腫れなどの症状も少ない施術法といえます。
サイナスリフトとは、歯が生えていた部分の側面からアプローチする骨造成法です。骨の厚みが3mm以下の場合に、不足した骨を2度の手術で造成します。1度目は上顎洞を骨移植によって造成します。2度目は、半年後のインプラントの埋入時に行います。

GBRとは、インプラント埋入手術と同時に行える骨造成法です。骨の不足が比較的少ない症例に適応されます。骨が不足している部位に自家骨や人工骨を補填し、「メンブレン」と呼ばれる人工膜で覆うことで、骨の誘導再生が可能となります。

CGFとは、患者さまご自身の血液を使って、失われた骨の再生を促す治療法です。添加物を一切使用しない「完全自己血由来」のゲルを用いることから、アレルギーや感染のリスクはほぼありません。傷口の治りも早く、患者さまのお身体への負担も少ない再生療法といえます。

当院の理事長は、日本口腔インプラント学会とAAID(アメリカ口腔インプラント学会専門医)の資格を有しており、インプラントに関する知識や治療実績は確かなものです。その実績から世界販売本数1位のインプラントメーカー(Osstem社)講師も務めております。難症例の治療や研究にも従事してきておりますので、いろいろなケースに対応可能です。
当院には、精密なインプラント治療には欠かせない歯科用CTを導入しております。さらに、インプラント専用のオペ室も完備し、大学病院レベルの環境で手術を受けることが可能です。

当院でインプラント治療を受けられた方は、定期的にメンテナンス(※1)に通っていただいていますとネジの部分は一生涯保証(※2)いたします。(※1最長4ヶ月の間に1度、※2喫煙者の方は一生涯保証の対象外となります)
当院で採用しているのは、ストローマンやハイオッセン、オステムインプラントといった世界でもトップシェアを誇るインプラントシステムのみです。いずれも信頼できるインプラントメーカーであり、治療の確実性も折り紙つきです。
インプラントは、欠損部を限りなく天然歯に近い状態で回復させることができますが、その周りで支えている歯肉や歯槽骨は、生身の組織です。
静脈鎮静法とは、一般的な歯茎に直接注射をする麻酔とは異なり、鎮静薬や麻酔薬を点滴から注入することで、ウトウトと眠っているような状態を作り出す麻酔の方法です。
静脈鎮静法は、手術や治療に強い不安や恐怖心や緊張を持っている方に対して、リラックスした状況で無痛状態を作り出し、患者様が安心して治療にインプラント治療に臨むことができる画期的な麻酔方法です。

インプラントを埋入するだけの土台(骨)が充分でない場合は、造骨から行います。
骨造には、約4~6か月程かかります。骨が充分な状態であれば約3か月が治療の目安になります。
ご自身の状態では、どれくらいの治療期間が必要になるか、お気軽にご相談ください。

事前にお電話で予約時間をおとり下さい。
理事長、スタッフより患者様の気になること、

当院のレントゲンはデジタル方式なので、
あなたの骨の状態、他の歯の状態などをチェックします。

あなたの骨の状態から、インプラント治療の説明、治療期間、治療費用など、詳しくお時間をとってご説明いたします。ご納得頂くまで何でもお聞き下さい。この場でインプラント治療するかを決める必要はありません。ゆっくりとご検討下さい。

フィクスチャーと呼ばれるチタン製の人工歯根を顎の骨に埋め込みます。

当院は、担当衛生士制を採用し、皆様の定期検診をサポートしております。

| 治療内容 | 奥歯へのインプラント治療 |
|---|---|
| 治療期間 | 3か月 |
| 治療費用 | 31万円(税抜) |
| 副作用・リスク | 外科処置が伴うため、術後の疼痛・腫脹・出血・咬合痛などを生じる事があります。 麻酔を行う場合、腫れやむくみを生じる事があります。 また、被せ物や土台が外れたり、欠けたり、緩んだりする事があります。 |
| 治療内容 | 前歯へのインプラント治療 |
|---|---|
| 治療期間 | 6か月 |
| 治療費用 | 43万円(税抜) |
| 副作用・リスク | 外科処置が伴うため、術後の疼痛・腫脹・出血・咬合痛などを生じる事があります。 麻酔を行う場合、腫れやむくみを生じる事があります。 また、被せ物や土台が外れたり、欠けたり、緩んだりする事があります。 |
●
インプラント相談:
0円
●
精密検査(CT撮影込み):
5,000円(税抜)
●
オステムインプラント(エコノミー):
380,000円(税抜)→310,000円(税抜)
(※ オペ(手術)+インプラント体+上部構造全て含みます。)
コストパフォーマンス重視の上部構造を使用します。
●
オステムインプラント(顎運動解析or前歯):
430,000円(税抜)→360,000円(税抜)
(※ オペ(手術)+インプラント体+上部構造全て含みます。)
前歯はジルコニアレイヤリングクラウン、奥歯はZebris
WinJAWシステムにて顎運動を計測した被せ物による上部構造を作成いたします
●
ストローマンインプラント or ZimVie TSXインプラント:
410,000円(税抜)→340,000円(税抜)
(※ オペ(手術)+インプラント体+上部構造全て含みます。)
コストパフォーマンス重視の上部構造を使用します。
●
ストローマンインプラント or ZimVie
TSXインプラント(顎運動解析or前歯):
460,000円(税抜)→390,000円(税抜)
オペ(手術)+インプラント体+上部構造全て含みます。
前歯はジルコニアレイヤリングクラウン、奥歯はZebris
WinJAWシステムにて顎運動を計測した被せ物による上部構造を作成いたします。
※ 症例によって下記が必要になります。
●
メジャーGBR(1部位あたり):
100,000円(税抜)
●
吸収性メンブレンを用いたメジャーGBR:
100,000円(税抜)
●
マイナーGBR(1部位あたり):
50,000円(税抜)
●
吸収性メンブレンを用いたマイナーGBR:
50,000円(税抜)
●
チタンメッシュを利用したGBR:
100,000円(税抜)
●
非吸収性メンブレンを用いたGBR:
1歯 150,000円(税抜)、
2歯目から +100,000円(税抜)
●
サイナスリフトクレスタルアプローチ(ソケットリフト):
50,000円(税抜)
●
サイナスリフトラテラルウインドウアプローチ:
1歯 150,000円(税抜)、
2歯目から +100,000円(税抜)
●
ソーセージテクニック:
150,000円(税抜)〜
●
吸収性メンブレンを用いたソーセージテクニック:
1歯 150,000円(税抜)、
2歯目から +100,000円(税抜)
●
セデーション(静脈内鎮静法):
80,000円(税抜)
●
笑気ガス:
10,000円(税抜)
●
FGG(1歯あたり):
50,000円(税抜)
●
CTG(1歯あたり):
50,000円(税抜)
●
デジタルサージカルガイド
50,000円(税抜)
●
インプラント仮歯
前歯:60,000円(税抜)
奥歯:50,000円(税抜)

治療費用はどれくらいかかりますか?
治療期間はどのくらいかかりますか?通院回数はどの位ですか?
インプラントはどのくらい持ちますか?
■ 2002年
大阪府立 三国丘高等学校 卒業
■ 2009年
大阪大学 歯学部 卒業 大阪大学歯学部附属病院にて研修
■ 2010年
医療法人青空会足立歯科クリニック勤務
■ 同年
歯科医師国家試験予備校Dr's 保存修復学講師 就任
■ 2014年
Ⅱ級 ファイナンシャルプランニング技能士 取得
■ 同年
歯科医師国家試験予備校Dr‘s インプラント 学講師 就任
■ 同年
OSSTEM JAPAN Course インストラクター 就任
■ 2016年
医療法人青空会 足立歯科クリニック
阿倍野インプラントセンター インストラクター 就任
■ 同年
すが歯科クリニック開院
AAID(アメリカインプラント学会)Affiliate Associate Fellow取得
■ 2018年
AAID(アメリカインプラント学会)専門医試験 合格
■ 同年
医療法人すが歯科クリニック 開設
■ 同年
AAID(アメリカインプラント学会) Associate Fellow 取得
■ 2021年
門真市歯科医師会理事就任
【門真守口院】
【寝屋川香里院】