寝屋川香里院
072-814-8814
月〜金9:30〜13:00・14:00〜18:30/土9:00〜17:00
駐車場あり 香里園駅から徒歩13分
門真守口院
06-6900-4182
月〜金9:00〜19:00/土9:00〜16:30
駐車場あり 西三荘駅から徒歩2分
寝屋川香里院
072-814-8814
月〜金9:30〜13:00・14:00〜18:30/土9:00〜17:00
駐車場あり 香里園駅から徒歩13分
門真守口院
06-6900-4182
月〜金9:00〜19:00/土9:00〜16:30
駐車場あり 西三荘駅から徒歩2分
ご来院の前に
初診の方はこちらをお読みください。
治療開始までのステップや注意点を記載しています。
※初回はカウンセリングが主となりますので、
予約をとりやすくさせていただいております。


歯を残すことにこだわるすが歯科では、「選びやすい根管治療」であることにこだわっています。 安心につながる緻密な治療体制と費用に配慮した精密根幹治療をお届けしています。
POINT 01
当院では、保険適用内で精密根管治療を提供しております。通常、特殊な機材や治療時間が必要である根管治療は自費治療として提供されることが多いですが、当院では保険を適用して精密根管治療を行えるため、患者様の金銭的な負担を大幅に軽減することができます。
POINT 02
精密根管治療は高度な技術を要する治療です。セラミックを使用した治療を選択される場合、トロント大学で研鑽を積み、豊富な臨床経験を持つ理事長・菅が執刀を担当いたします。また、その他の治療についても菅の指導を受けた歯科医師が担当しますので安心してお任せいただけます。
POINT 03
保険外治療の被せ物装着後5年以内に抜歯治療になった場合でも、定期検診に継続してお越しいただけるのであれば、インプラントやブリッジなどの保険外の治療を選択していただいた場合、保証分として被せ物の半分の費用をインプラント治療など治療費から引かせていただきます。
※理事長は日本・アメリカ両国のインプラント学会の資格を保有しております。
Brilliant Dental Life
多くの患者さまは歯の治療は何回もできると思っておられます。
実際は1本の歯に対して、
上図のようにおよそ5回くらいしか治療することができません。
つまり一度、治療した歯は再治療をしないようなことを考えていかなければなりません
大前提として神経をとらないようにすることが大事です。
残念ながら、神経をとらなければならなくなった時、根管治療が大事となる段階が2つあります。
最初に根管治療をする時と抜歯の前に歯を残すために最後の根管治療をする時です。このタイミングでの根管治療が特に歯を残す時に大事になってきます。
根管治療は家の建築でいうと基礎にあたるものであり、 歯を残す上で非常に大切です。 とても大切にも関わらず、 現在欧米と日本の歯科治療で非常に異なる治療をしている分野でもあります。これは治療費が影響して、明確な差を作り出しています。
欧米では108,011円、
日本では5,839円で差額は102,172円となります。
このようなことが根管治療に使える器具、 材料、
歯科医師が研修を受ける為に必要な費用に影響を与えます。
こういったことから、欧米と日本の治療成績の違いが起きています。
この治療成績には上に被せる被せ物も関係しています。
※首相官邸HPより
1$=¥122で計算
※保険診療のデータ
当院では、トロント大学スタディプログラムで研鑽を積んだ歯科医師が根管治療を行います。
根管治療で世界的に権威のある講師陣による研修プログラムです。 全4セッションで1年間、審査・診断からリトリートメント・破折器具の除去まで、根管治療のすべてを学べます。 短日のセミナーとは異なり、年間を通してのプログラムなので知識・技術をしっかりと習得することが可能になります。
理事長 菅が患者様の診断から治療まで責任をもって根管治療を担当します。
理事長 菅は日本口腔インプラント学会の資格と、AAID(アメリカインプラント学会)の資格を保有しており、数多くのインプラント埋入実績があります。しかし、保存の道がまだ残されている歯に対してインプラント治療をご提案することはありません。
精密な診査診断を実施し、根管治療によっても治癒が期待できないケースにこそ、インプラントが適応されるべきだと考えております。
インプラントにしないために、歯の保存を徹底的にこだわった診療コンセプトで治療を行っております。
※ジルコニア(ステインあり)以上が対象となります
例:被せ物をセラミックを選択し、感染根管処置を行った場合
【例】
BEFORE
AFTER
副作用・リスク
本来、マイクロスコープを使用した精密根管治療は、機材や材料、ドクターの技術研修費用などの問題で、日本の保険診療の制度では提供できないというのが現実です。しかし、「できるだけ歯を残す」という選択を患者様にしてほしいという想いから、この独自の料金体系を設けることにいたしました。
被せ物として保険治療で使われる素材は銀歯、プラスチックから成り立ちます。
お口の中は過酷な環境にさらされています。特に銀歯は錆びる、変形するの要素が強くなり、歯と詰め物の間に隙間が生じ、そこから虫歯の広がり、感染物質の侵入がおこります。
そして、再治療をしなければならない状態となります。
以上の理由から当医院では再治療をおこなわないことを考えているため、定期検診で治療部位のチェックに加えて、そもそも素材の変形や劣化がなく、虫歯になりにくく、隙間からの細菌の感染が少ない、セラミックでの治療を推奨しています。
銀が約50%含まれているので、長年使用していると、錆びる現象が起こります。歯磨きがしにくい歯と歯の間が、特に錆やすいです。
銀歯は硬いですが咬むことで、知らず知らず変形を起こしています。なぜなら人は1日に1600回咬み、1回の力は50~60kgもあるからです。しかも1000日以上使うことで、徐々にたわんでいき隙間ができるのです。
CAD/CAM冠は色が白く、金属を使用しないため、金属アレルギーのリスクがありませんが、プラスチック成分が吸水を起こすため、変色・変形が生じます。その他にも強度が弱く、欠けたりします。
どんなに精度の高い根管治療ができたとしても、最終的な被せ物が、しっかりとしていないと再発のリスクが出てきます。歯と被せ物とのつなぎ目がピッタリ合っているかどうかを適合性と言います。下記の図のように歯と被せ物のつなぎ目にすき間があるとその間から虫歯菌が侵入してしまう可能性があります。
こちらはアメリカの大学で取られた統計データです。表から見てわかる通り、根管治療後の被せ物の精度が低いと成功率が下がります。被せ物のつなぎ目の部分は非常に細かく肉眼では確認するのは非常に困難です。当院では、被せ物の装着時もマイクロスコープを用いて適合性を高めております。
コアとは歯根(歯の根っこ)の強度をあげるため、歯根を削り土台としてしん棒をいれるものです。しん棒の材質は金属がほとんどでしたが、グラスファイバーを用いたものがファイバーコアです。
・色が白いので被せ物をした時に透明感が出てきれい。
・歯ぐきや歯の根っこが黒ずむことがない。
・硬さが歯の根っこに近く、またしなる性質があるので根っこが割れる可能
性が大幅に下がる。
・金属アレルギーがない。
料金
16,500円(税込)
このように選択する『被せ物』や『コア』の材質は、長期的に視点からもとても重要な要素です。そのため、当院では「セラミック」、「ファイバーコア」を推奨しております。
さらに
被せ物は5年保証
万が一5年以内に抜歯になり、インプラントを選択した場合
インプラント治療費から被せ物の費用を引かせて頂きます。
理事長
菅は開業場所を西三荘駅に決定するくらい松下幸之助氏を尊敬しており、同氏の水道哲学である「良いものを安く、選択されやすいように」という考えに基づき、この独自の料金体系を設けることに致しました。
一人でも多くの患者様が、いつまでもご自身の歯で健康でいられることに少しでもお役に立てれば幸いです。
根管治療とは、
むし歯菌に冒された神経や歯を除去し、
歯茎の根管を綺麗にする治療です。
主にむし歯菌が神経まで到達してしまったような、
重度のむし歯に対して根管治療を行います。
根管治療は難易度が高いことで知られており、東京歯科大学が発表したデータによると、
成功率は30%~50%程度、つまり約半数以上が再治療を要します。
神経を除去するという治療は非常に繊細な技術を要し、本来は時間をかけて専用器具を使う必要がありますが、保険診療では限界があるため半数以上が再治療を必要としている状態です。
現在、日本のほとんどの歯科医院で、この根管治療を保険診療で行っています。
確かに保険診療には治療費が安いなどメリットがあります。
しかし、歯の根管は、直径1mm以下と非常に細く歯科治療の中でも特に高度で繊細な技術を要します。
精緻な治療に必要な専門器具を使ったり、時間的な制約などから保険診療だけで充分な治療を行うのには限界があると言わざるを得ません。
先述した通り、日本の根管治療は50%以上が再発しています。
対して米国の根管治療の成功率が約90%と日本と比べてかなり高いことがわかります。
米国の根管治療は治療に制限のない自由診療で行うため、精密機器を使用した最先端の治療が受けられます。
それゆえに米国の根管治療の成功率は、非常に高い水準にあるのです。
手間や技術を要する根管治療だからこそ、
制限ある中で満足のいく治療をするのは難しいということが上記の表からも読み取れるかと思います。
~レントゲンや歯科用CTについて~
患部の状態を正確に把握するための重要な設備がCTです。通常の歯科治療ではレントゲンを使用することが多く、確かにレントゲンでも口腔内の状況を大まかに把握することはできますが、CTを使えばレントゲンでは見つけられなかった小さな病変を可視化することが可能になります。当院ではCTを導入し、必要に応じてレントゲンと使い分けている為、より精密な根管治療が可能です。
歯科用CT
~マイクロスコープ~
これまでの根管治療は、主に肉眼で処置が行われていました。当然ですが治療部位が細部まで見えないため、担当医の経験や勘に治療の成功率が大きく左右されてしまいます。対して当院では、マイクロスコープを導入しております。肉眼の20倍まで視野を拡大して処置を行うため、根管内の微細な病変も見逃すことが少なくなり、治療成功率の上昇が見込めます。実際に、マイクロスコープを根管治療に活用することで、治療成功率が90%まで上昇するというデータも存在しています。
マイクロスコープ
~エルビウムヤグレーザー~
むし歯菌に汚染された神経や血管を除去する処置では、リーマーと呼ばれる細い器具を使ったり、消毒薬などを作用させたりすることで、根管内の無菌化に努めます。しかし、根管内はとても複雑な形態をしており、なおかつそのすべてを肉眼で確認することができないため、確実に無菌化することは困難です。そこで、歯科用レーザーを活用し、根管内の殺菌を効率的に進めていきます。その結果、治癒も早まり、再治療の必要性も低下します。
エルビウムヤグレーザー
~ラバーダム~
ラバーダムは、根管治療の処置中に治療する「歯」以外にかぶせて唾液や菌による汚染を防ぐためのゴム製のシートです。米国では根管治療にラバーダムを使うのは当たり前になっていますが、装着に時間がかかること、また費用の問題により、日本の歯科医院での使用率は5%程度と言われています。もちろん、当院ではラバーダムを使用しております。
ラバーダム
~ニッケルチタンファイル~
実際にむし歯菌に汚染された神経や血管を除去する処置では、ファイルと呼ばれる器具を使用します。通常の保険診療では、ステンレス製のファイルを使用しますが、ステンレスは柔軟性に欠けるため、根管に傷をつけてしまったり、穴を開けてしまうことがあります。当院ではニッケルチタン製のファイルを使用することで、口腔内や処置箇所を傷つけることを防ぎ、より効率的に汚染された神経や血管を除去しています。
ニッケルチタンファイル
~MTAセメント~
当院では根管治療の際に、MTAセメントを使用する場合もあります。MTAセメントとは、歯の神経の保護や穴の空いた歯を埋める歯科治療薬です。本来であれば歯の神経を全て取らなければいけないような状態でも、MTAセメントを使うことで歯の神経を残せる場合があります。また、歯を組成する成分に近いため、歯の組織を再生させて治療後の経過を良好にする効果も期待できます。
料金
33,000円(税込)
MTAセメント
上記のような治療を保険診療の制限下で行うのは、コスト的にも時間的にも難しいことが理解いただけるかと思います。
当院ではこういった処置を制限なく行い、根管治療の成功率を高めるため、自由診療で治療を行なっております。
痛い歯だけでなく全ての歯を診察します。その後、レントゲンを撮影し、必要に応じてCTも撮影します。
検査結果をもとに、患者様の口腔内の状況や必要な処置、治療期間や費用などをお伝えします。
腫れや痛みがある場合は、応急的な処置を行います。
まずはじめに、根管内のむし歯菌が感染した神経や内部組織を洗浄し、細菌を取り除きます。さらに保険診療では扱わない器具や薬剤を用いて、丹念に根管内を消毒します。必要であれば、レーザーも使用し、根管内の殺菌を行います。
症状がある程度落ちつき次第、根管の中に充填材をいれて密封します。
仮歯を固定するために、ファイバーポストを立てて土台を作ります。
歯の破折を防いだり、細菌の再感染を防ぐといった目的もある、重要な処置です。
前回の治療からの経過を観察し、膿や炎症の有無を確認します。
根管治療を行なった歯の再感染を防ぐためには、被せ物の精密な処置が重要になります。
症状がなければ、MTAセメントを用いることで神経を残すことができる場合もあります。
VPT(歯髄温存療法)=「歯の神経を可能な限り温存する治療」です。VPTは①直接覆髄法②部分断髄法③完全断髄法に分類されます。
(被せ物装着後5年以内に抜歯治療に
なった場合、定期検診に継続して来院しており、
インプラントやブリッジを選択した場合、費用から被せ物の半分引く保証あり)
0円
初めての方の場合、保険の費用にて、レントゲン写真、CTをお撮りさせていただきます。
※他院でのレントゲンやCTでご相談の場合は相談料として11,000円(税込)別途頂戴致します。
↓ 被せ物をセラミックにせず理事長での精密根管治療のみご希望の方はこちらの値段
前歯・小臼歯:88,000円(税込)
大臼歯:110,000円(税込)
前歯・小臼歯:110,000円(税込)
大臼歯:132,000円(税込)
前歯:132,000円(税込)
小臼歯:187,000円(税込)
大臼歯:242,000円(税込)
ファイル破折除去:55,000円(税込)
※3回行って取れなかった場合:27,500円(税込)
歯髄温存療法:55,000円(税込)
MTAセメント:33,000円(税込)
3Dプリンタ模型で移植歯を用いた移植処置:
250,000円(税込)
ファイバーコア:16,500円(税込)
ジルコニアクラウン(ステインあり)(生活歯)
132,000円(税込)
ジルコニアレイヤリングクラウン(生活歯)
143,000円(税込)/前歯部
ジルコニアクラウン(ステインあり)(失活歯)
149,000円(税込)
ジルコニアレイアリングクラウン(失活歯)
154,000円(税込)/前歯部
※5年以内半額保証
ハイクラスセラミッククラウン
(ゼブリスでデジタル顎運動を計測して作成いたします)
165,000円(税込)/臼歯部
176,000円(税込)/前歯部
※被せ物の材料にセラミックを用いた自由診療を行う場合、
根管治療は保険診療で提供いたします。
※ジルコニア(ステインあり)以上が対象になります。
当院では、できるだけ歯を残すよう努力をしておりますが、
残念ながら下記の場合は歯を残すことが難しいことが多いです。
1.歯が割れている場合
2.歯周病で歯がグラグラしてる場合
3.むし歯が大きくなりすぎて崩壊してる場合(場合によっては残せることも)
上記が抜歯の対象になります。ご理解の程、宜しくお願い致します。
当院で根管治療を行いその後、残念ながら抜歯になってしまった場合、
年数に応じてインプラントの費用から治療費用を差し引かせて頂きます。
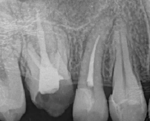
治療前
治療後
半年後
根の治療済みの歯の歯茎にできものができて、痛みはないもののいつまでも治らないので不安になり調べると、歯の根に膿が溜まっているらしいとわかりました。根管治療済みの歯のやり直しは何回もできるわけではないらしいので、ネットで調べてマイクロスコープ、ラバーダム防湿、CTの設備のある所を探しました。近所にも同様の設備の歯科は見つかりましたがHPに自費診療料金の記載がありませんでした。すが歯科は細かく自費診療の料金の記載があったので診察を受けてみました。CT、レントゲンを撮り、どの様な治療をするのか丁寧に説明してもらえます。驚いたのは治療の際の麻酔が全く痛くない事です。そして毎回、その日の治療内容や次回何をするとか説明して頂けるので安心です。駅から近いので電車でも通いやすいです。今まで歯科では保険診療しか受けた事が無かったのですが、自費診療を選んで良かったと思います。根管治療は細かい作業になるので、マイクロスコープ根管治療が必須だと思います。
副作用・リスク
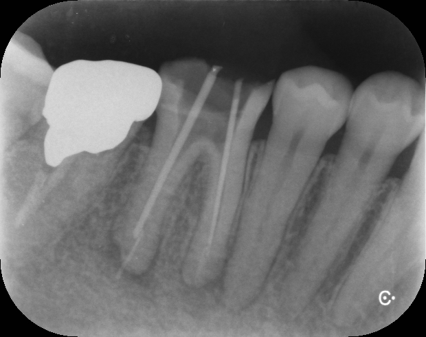
治療前
治療後
半年後
※ファイル破折除去の症例です。治療回数はファイル破折除去、被せ物治療まで含めての回数です。
昔の治療で使ったファイルという器具が根っこの先に残ってると言われました。それを除去してもらうのが無理ということで何軒か医院に伺いました。その中ですが歯科さんが説明をしっかりしてくれたので、治療していただくことにしました。結果は見事、器具を除去していただきました。その後、根管治療もうまくできたとおっしゃっていただきました。本当に嬉しいです。ありがとうございます。
副作用・リスク
治療前
治療後
半年後
歯の底の部分に穴があいているために他の医院で抜歯しないといけないといわれました。
ホームページを検索してすが歯科さんにお伺いすると、まずは残せれる可能性にかけましょう。もし、治療後、抜歯になったとしても5年以内であれば保証制度がありますとおっしゃっていただいたので、患者にはメリットしかないんじゃないと思い、安心して治療していただきました。治療中も痛みがなく、まだ終わったばかりですが、なんでもかめます。本当にありがとうございます。今後もよろしくお願い申し上げます。
副作用・リスク
根管は非常に細い管で複雑に枝分かれし、1本の歯に対する根管の数や形状は、指紋が違うように一人ひとり異なります。このため、肉眼で治療をするのは難しく、場合によっては手探りでの治療となります。マイクロスコープを使うことで、見えにくい部分や見えない部分を拡大し、ライトで明るく照らしながら治療を行うことができます。
当院では、「自費の根管治療後のトラブルに
5年間の無料補償(歯が割れる破折以外)」、破折した歯へのインプラント治療を希望される場合は「被せ物の費用を差し引いて提供」などの補償制度を設けております。質の高い治療を受けるためにも、根管治療についてしっかり経験を積んだ歯科医院、また、補償制度を整えている歯科医院への相談をお勧めします。
すが歯科・矯正歯科 理事長 菅 良宜
すが歯科・矯正歯科
理事長 菅 良宜
※110万円、または1年間の所得が200万円未満の場合は所得の5%になります。
※2所得税率は総所得に応じて変動します。
【門真守口院】
【寝屋川香里院】