2023/12/13
下顎歯肉退縮治療の症例
皆さんこんにちは。大阪府門真市京阪沿線西三荘駅から徒歩2分、門真市・守口市で根管治療・インプラント治療・矯正治療・歯茎移植(歯肉移植)に強い歯医者、
すが歯科矯正歯科大人こどもクリニック 門真守口院です。
当医院の理事長 菅 良宜は歯茎がさがってお悩みの方に1度の処置で長期にわたって術後経過を安定させる歯肉移植(歯茎移植)を施術いたします。
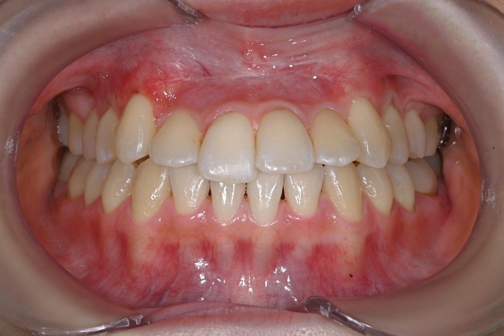
さて今回は上顎の歯肉退縮の症例を紹介します。







| 治療内容 | 歯肉退縮治療(VISTA) |
| 治療期間 | 3ヶ月 |
| 治療費用 | 16万円( 税抜 ) |
| 副作用・リスク | 外科処置が伴うため、術後の疼痛・腫脹・出血・咬合痛などを生じる事があります。 麻酔を行う場合、腫れやむくみを生じる事があります。 |
皆さんこんにちは。大阪府門真市京阪沿線西三荘駅から徒歩2分、門真市・守口市で根管治療・インプラント治療・矯正治療・歯茎移植(歯肉移植)に強い歯医者、
すが歯科矯正歯科大人こどもクリニック門真守口院です。
当医院の理事長 菅 良宜は歯茎がさがってお悩みの方に1度の処置で長期にわたって術後経過を安定させる歯肉移植(歯茎移植)を施術いたします。
当医院では治療技術はもちろん、患者さまの心と向き合い診療していくことが大事と考えています。
それは
理事長 菅 良宜の治療理念
人生を変える歯科治療を通じて患者様の人生を良くしたい
という想いからです。
大阪で歯肉退縮、歯茎がさがっている、歯が長くなったなどの症状でお困りなら
電車で京橋から8分,
守口市駅から1分の
京阪西三荘駅徒歩2分に位置しています。
カウンセリングは無料になります。お気軽にご相談ください。
門真市・守口市で根管治療・インプラント治療・矯正治療・歯茎移植(歯肉移植)に強い歯医者、すが歯科矯正歯科大人こどもクリニック 門真守口 院では
24時間Web予約を受け付けております。
気になる点がある方は、ぜひ一度以下からご予約お待ちしております!
https://apo-toolboxes.stransa.co.jp/user/web/675/reservations
歯茎がさがってお悩みの方に
1度の処置で長期にわたって術後経過を安定させる歯肉移植(歯茎移植)の
エキスパート 理事長 菅 良宜による歯肉移植(歯茎移植)治療
詳しい内容の専門サイトはこちら
https://www.suga-dent.com/gingival/
症例ブログはこちら
https://www.suga-dent.com/case/gingival/
執筆者
医療法人凌和会すが歯科矯正歯科
理事長 菅 良宜
治療理念 人生を変える歯科治療を通じて患者様の人生を良くしたい

Post views: 1,344 views