無料相談ネット予約
  • 歯が長くなってきた
  • 歯茎がやせてきた

と思う方へ

歯肉退縮治療

人生を変える最高の治療をあなたに。

根面被覆術

80,000円(税抜)

※1歯あたり、2歯目と3歯目は半額以下

治療範囲が広範囲になる場合
2歯目以降は半額以下で提供いたします。

【診療時間】  月~金 9:00~12:30・13:30~18:30    土 9:00~16:30

新規の患者様

「歯茎の再生・移植治療」
予約の空き状況

※初回はカウンセリングが主となりますので、
予約をとりやすくさせていただいております。

門真院

寝屋川院

歯肉(歯茎)移植
歯肉(歯茎)の再生
可能となります

 奥歯へのインプラント治療  奥歯へのインプラント治療

※左右スライドで術前術後を確認いただけます

金額 上前歯六本 330,000円
下前歯六本 330,000円
治療期間 3ヶ月
副作用 術後に腫れることがあります。

あなたのお悩みを歯茎の再生治療により解決します!

実際の症例集はこちら 患者さまのご質問にお答えする歯茎移植ブログ

そんな歯茎周辺のお悩みは
歯根が露出する「歯肉退縮」が
原因かもしれません

歯肉退縮とは
Gingival recession

歯の周りの歯肉が減り、本来歯肉に隠れている歯根が露出した状態のことをいいます。

歯肉退縮が進むと見た目が悪いだけではなく、虫歯や知覚過敏、歯周病の悪化といった危険があります。
最初は痛みがなく、ゆっくりと進行していくために、気がつかずに放置してしまっているケースが多く見られます。

歯肉退縮の原因

歯肉退縮の原因としては、以下のようなことが考えられます。対策を行うことで進行を止めることはできますが、自然に治癒することはありません。悪化すると歯が抜けてしまったり、抜歯しなければならないレベルになることもあります。自己判断をせずに、歯科医院へご相談ください。

誤ったブラッシング

毎日の歯磨きで力が強すぎたり、間違ったブラシの当て方をすると歯肉を傷つけて退縮させてしまいます。硬い歯ブラシやゴシゴシと力を込めて磨いている方はご注意ください。

歯周病の進行

歯周病は口腔内細菌の感染によって引き起こされる病気で、顎の骨を溶かします。不十分な歯磨きの状態が続き、歯と歯肉の境目部分に汚れがたまることで発症します。顎の骨の上に歯肉があるので、骨が溶けてしまうと当然その上にある歯肉も下がってしまいます。

矯正治療による退縮

矯正治療では力を加えることで歯を動かします。顎の骨からはみ出るような動きをすると、歯肉退縮がおこります。

噛み合わせ

噛み合わせが悪いと歯を支える骨に負担がかかるため、歯肉退縮をおこす場合があります。また、寝ている間の歯ぎしりや食いしばりでも同様のことがいえます。

加齢による退縮

歯肉を支える組織の一つにコラーゲンというタンパク質があります。このコラーゲンは組織の中で約60%を占めていますが、残念なことに年齢を重ねると共に減少する傾向にあるのです。定説としては「10年で2mm程度歯肉が下がる」といわれています。

放置のリスク

歯肉退縮は治療をしないまま放置すると78.1%の確率で、歯肉退縮が進行することが論文で報告されています(※)。
虫歯や歯周病の悪化や歯を失うリスクが高まる原因となるため、歯茎の下がりが気になる方は一度、ご相談ください。
※e.g. Chambrone L, J Periodontol. 2016 Jul;87(7):796-808.

歯肉退縮が進行すると…

歯肉退縮の状態を評価する方法

歯肉退縮には分類があり、根面被覆(歯茎の再生治療)を行う際にはこの分類を参考に手術の可否や術式を選択します。
その際にMillerの分類 、Cairoの分類 という分類法を用いて診断します。

Millerの分類

Millerの分類 Millerの分類

1985年にMiller PDが提唱した歯肉退縮の分類です。

Class I

MGJを越えているが両側歯間部に付着の喪失や歯槽骨吸収がみられない状態です。完全な根面被覆が期待できます。

Class II

歯間部の歯周組織が健全で、歯肉歯槽粘膜境(muco-gingival junction:MGJ)を超えていない状態です。完全な根面被覆が期待できます。

Class III

歯間乳頭の喪失は認めるが、歯間部の組織に比較して大きく根面露出が存在しMGJまで、もしくは超えている状態です。完全な根面被覆は期待できないが、一部の根面被覆は期待できます。

Class Ⅳ

根面露出がMGJまで、もしくはもしくは超えている。歯間乳頭の喪失を認め、その喪失は根面露出と同程度のもので根面被覆は期待できないです。

Cairoの分類

Millerの分類 Millerの分類

2011年に発表された歯肉退縮の分類です。 歯と歯の間の歯肉の位置がどこにあるかを基に歯肉退縮をType1〜3まで分類しています。

Type1

隣接面に付着の喪失(CAL-loss)をともなわない歯肉退縮です。これは、歯間乳頭が健全であることを意味しており、完全な根面被覆が期待できます。

Type2

隣接面のCAL-lossをともなう歯肉退縮です。隣接面のCAL-lossの量が頬側のCAL-lossと比較して小さいか同じである状態です。歯間部の喪失の程度によっては、完全な根面被覆を達成できる可能性があります。

Type3

隣接面のCAL-lossをともなう歯肉退縮です。隣接面のCAL-lossの量が頬側のCAL-lossと比較して大きい状態です。完全な根面被覆の達成は難しいとされております。

そんな歯肉退縮のお悩みを
万全な環境下で行う
当院の「再生治療」で解決します

歯茎の再生治療とは?
Regenerative treatment

歯周病の進行によって歯が長くなったように見える場合はもちろんのこと、誤った歯磨きの仕方、矯正治療による歯の移動によるもの、噛み合わせ、加齢によって生じた歯肉退縮などでも、歯茎の再生治療は可能です。
症状と原因をしっかりと見定め、患者さま一人一人に合った適切な再生治療を行なっていきます。

マイクロスコープや拡大ルーペを用いて
拡大視野で精密な治療を行います

最新情報のアップデート

当院では、最新の外科処置である「VISTAテクニック」を採用しております。
理事長の菅は、VISTAテクニックを開発したDr.Homa H. Zadeh(ホマ・ザデ)先生や日本にVISTAテクニックを導入した米国歯周病専門医のDr.Min Seiko(ミン・セイコー)先生に直接指導を受けました。
このように当院では、最新の治療も取り入れ、患者さまの症状に応じたさまざまな治療をご提供しております。

当院の歯茎の再生治療
Regenerative treatment menu

結合組織移植術

主に上顎の奥歯の内側から歯肉を採取して、歯肉退縮部分の上皮と骨膜との間に移植する治療です。
歯肉の外側の部分は部位によって色が違うため、移植後に色が合わないことがあります。しかし結合組織移植術では、内側部分のみを移植するため自然な仕上がりとなるのが特徴です。歯肉退縮が広範囲にみられる場合は、やけど治療の際などに使用する皮膚の移植材(無細胞性皮膚基質)を用いて移植するという方法もあります。

歯肉弁側方移動術

両隣の歯の歯肉を引っ張って露出した部分を覆う方法です。こちらも歯肉の色調の調和が図れます。
ただし、隣接する歯の歯肉に十分な厚みがあること、隣接する歯に歯槽骨の吸収がないことが条件となります。

歯肉弁歯冠側移動術

同じ歯の上の歯肉を引っ張って露出した部分を覆う方法です。こちらも歯肉の色調の調和が図れます。歯肉の移動量は、隣接する歯間乳頭や歯槽骨の高さに依存します。

VISTAテクニック

歯肉退縮した部位の上部に縦に切開を入れて、別の部位から歯茎を移植する方法です。
コンポジットレジンと縫合糸で退縮した歯茎を引っ張り歯肉退縮を改善します。

エムドゲイン

歯周病で歯周組織(歯槽骨や歯根膜など)を失った部分を再生させる歯周組織再生療法の一種です。
エムドゲインの主な成分は、子どもの頃、歯が生えてくるときに重要な働きをするたん白質の一種です。この成分は歯が生えてくる時と同じような環境を作ることができ、歯周組織の再生を促します。

歯肉退縮の治療方法「歯茎の再生治療」に伴うリスク

  • 外科処置に伴う痛み、腫れ、出血、内出血
  • 一時的な知覚過敏
  • 歯肉退縮した部分すべてが回復するわけではない

治療後も、清掃状態が悪い場合や誤った歯磨き方法によって再発する可能性があります。
歯科医師、歯科衛生士の指示のもと、正しく歯磨きを行うことが重要となります。

すが歯科の精密治療で
健康で美しい歯茎
取り戻しましょう。

当院の再生治療の特徴
Features

外科処置の経験豊富な歯科医師による治療

当院の理事長は、手術が卓越していないと取得できない日本口腔インプラント学会専門医とAAID(アメリカ口腔インプラント学会専門医)の資格を有しており外科処置の経験が非常に豊富です。
また国内外で認められないと就任できない世界販売本数1位のインプラントメーカー(Osstem社)の技術指導講師も務めております。難症例の治療や研究にも従事しておりますので、さまざまなケースに対応可能です。

安心安全な治療をご提供する
ための万全の設備体制

当院では、外科処置などが伴う治療において、完全個室の特別診療室での処置を行います。また、正確な診断を行うための歯科用CTや精密な処置を可能にするマイクロスコープを導入しており安全安心な治療をご提供しております。

表面麻酔やレーザーを使用し
痛みに対しての万全な配慮

麻酔時に「表面麻酔」を使用することで注射時の痛みを鈍麻させたり、極細の注射針を使用することで痛みの軽減を目指すなどの配慮を行っております。
また、状況に応じて「エルビウムYAGレーザー」も使用します。エルビウムYAGレーザーには炎症の改善、止血などといった効果があります。こちらも痛みはほとんど伴わず、安全性の高い処置法なので安心して治療を受けて頂くことができます。

徹底した衛生管理を行うための
ヨーロッパ基準の滅菌設備

高圧洗浄除菌装置(ミーレジェットウォッシャー)

治療に使用した器具には、唾液や血液、タンパク質といった感染源となる物質が付着しています。しかし治療に使用する器具はとても複雑な形態をしているものが多いため、手洗いではどうしても洗い残しの危険が生じます。そこで使用後の器具を独ミーレ社の高圧洗浄除菌装置(ミーレジェットウォッシャー)で洗浄することにより、徹底した洗浄・除菌に努めております。

オートクレーブ「クラスB」

高温高圧により、ほぼすべての細菌やウイルスを死滅させることができる機械です。クラスB、クラスS、クラスNの3クラスに分かれていて、すべての種類の器具を滅菌することが可能なものがクラスBです。ヨーロッパでは当たり前のようにクラスBが導入されていますが、日本ではまだあまり普及していないのが現状です。しかし、当院では「クラスB」を導入し、院内感染防止対策を徹底しております。

オゾン水生成器

オゾン水とは強い酸化力・殺菌力を持つオゾンを含む水のことです。さまざまな細菌やウイルスによる感染防止に効果的とされています。食品添加物としても認められているため、安全性が高く、医療現場でも安心して用いることができます。

治療の流れ
Flow

ご予約

当院では患者さまに「適切な準備・治療・説明」を行うために予約制を取っております。事前にお電話でご予約をお願いいたします。また「無料相談」も承っておりますので、お気軽にお問い合わせください。

カウンセリング

患者さまが抱える不安、疑問、悩み…どんな些細なことでも構いませんのでご相談ください。カウンセリングは、患者さまと一緒にお口の中の健康状態と最善の治療方法を考える大切な打ち合わせの時間なのです。

精密検査

正確な状態を知るために、各種検査を行います。尚、当院のレントゲンはデジタル方式を採用しております。従来のレントゲンとは異なり、放射線被曝量が少なく、患者さまの体に優しい装置です。安心して検査をお受けください。

治療計画のご提案

カウンセリング、診察、検査結果を元に患者さまに合った治療計画をご提案いたします。その際、治療方法、治療期間、費用などを詳しくご説明いたします。カウンセリング時と同様、何でもお気軽にお尋ねください。

この場で治療するかを決断する必要はありません。
詳しい資料をお渡ししますので、ご自宅でゆっくりとご検討ください。

その結果、治療を保留にして頂いても構いません。

治療開始

当院では「できうる限り痛みのない治療」を実施しております。
麻酔を打つ前に表面麻酔を塗布することで、針を刺す部分の感覚を麻痺させます。そうすることで注射の痛みを軽減することができます。
また、処置後も痛み止めを内服して頂くことにより、麻酔が切れた後で痛くて堪らないなどといったことはございませんのでご安心ください。

術後の確認

歯肉の改善状態の確認を患者さまと共に行い、
治療完了となります。

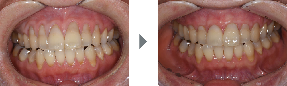
歯肉退縮の治療例
Case

結合組織移植術

結合組織移植術 結合組織移植術

※左右スライドで術前術後を確認いただけます

治療内容 歯肉根面被覆形成術
治療期間 半年
治療費用 300,000円(税抜)
※1歯あたり30,000~80,000円(税抜)
副作用・リスク 外科処置が必要になります。

歯肉根面被覆形成術

結合組織移植術 結合組織移植術

※左右スライドで術前術後を確認いただけます

治療内容 歯肉根面被覆形成術
治療期間 半年
治療費用 80,000円(税別)※1歯あたり
+エムドゲイン:20,000円(税別)
副作用・リスク 外科処置が必要になります。

よくある質問
Q&A

Q

歯茎が下がってきたのを放っておくとどうなるの?

A

歯肉が下がったまま放置していると歯肉移植術などの処置を施術しなければ、78.1%の確率で歯肉退縮が進行するということが論文で示唆されております。(e.g. Chambrone L, J Periodontol. 2016 Jul;87(7):796-808.)
また、見た目の問題や日常生活に影響がでる歯の知覚過敏症状、露出した歯根部分のむし歯やくさび状欠損などの症状が生じ、さらに進行すると抜歯にいたる可能性もあります。
適切な処置を早めに行うことで治療可能もしくは進行を遅らせることが可能ですので、早めの処置をおすすめします。

Q

歯茎の移植をしても再度、歯茎が下がったり、定期的歯茎の移植をし続けないといけないですか?

A

歯肉移植をすることで再度、歯肉退縮が起こる確率を下げることが可能となり、元の状態まで戻る可能性は低いと考えられます。
それどころか歯肉移植をおこなった後、さらに歯肉がふえる、つまり歯茎が厚くなるという論文の報告もあります。(e.g. Agudio G, J Periodontol. 2016 Dec;87(12):1371-1378.)
安心して治療を受けてください。

Q

移植する側の歯茎はどこからとってくるの?また、そこはなくなっても大丈夫なの?

A

移植するために採取する歯茎は口蓋といわれる上顎の裏側にある硬い皮膚の下の結合組織といわれるものを使用いたします。
その結合組織は数ヶ月後に再生可能であるため、期間をおけば、何回でも採取可能です。つまり、採取しても採取部が数ヶ月経過すると影響がでることは基本的にはないと考えていただいて結構です。
安心して治療を受けてください。

治療費用
Price

初診相談 0
結合組織移植術 80,000円(税別)※1歯あたり
2歯目:40,000円(税別)
3歯目:30,000円(税別)
※下顎前歯に限ります
歯肉弁側方移動術 80,000円(税別)※1歯あたり
歯肉弁歯冠側移動術 80,000円(税別)※1歯あたり
エムドゲイン 20,000円(税別)
リグロス 30,000円(税別)
テルダーミス 10,000円(税別)

松下幸之助氏の提唱した
「水道哲学」の考えをベースにした歯肉退縮の治療

水道哲学(すいどうてつがく)は、松下幸之助の語録に基づく経営哲学で、良質なものを低価格で提供する考え方です。

当院では、この松下幸之助氏の提唱した「水道哲学」をベースにした考え方の元、治療部位が広範囲になる場合、2歯目以降は半額以下で提供致します。

医療費控除について

医療費控除とは、1年の間に本人または生計を共にする配偶者やその他親族が支払った医療費に関して、一定額を超える場合に所得控除を受けることができる制度です。

歯科医師紹介
Doctor

■ 2002年
大阪府立 三国丘高等学校 卒業
■ 2009年
大阪大学 歯学部 卒業 大阪大学歯学部附属病院にて研修
■ 2010年
医療法人青空会足立歯科クリニック勤務
■ 同年
歯科医師国家試験予備校Dr's 保存修復学講師 就任
■ 2014年
Ⅱ級 ファイナンシャルプランニング技能士 取得
■ 同年
歯科医師国家試験予備校Dr‘s インプラント 学講師 就任
■ 同年
OSSTEM JAPAN Course インストラクター 就任
■ 2016年
医療法人青空会 足立歯科クリニック 阿倍野インプラントセンター インストラクター 就任
■ 同年
すが歯科クリニック開院 AAID(アメリカインプラント学会)Affiliate Associate Fellow取得
■ 2018年
AAID(アメリカインプラント学会)専門医試験 合格
■ 同年
医療法人すがクリニック 開設
■ 同年
AAID(アメリカインプラント学会) Associate Fellow 取得

ページトップへ戻る