2025/12/22
インプラントをしたほうが良い人はどんな人?
皆さんこんにちは。
京阪沿線西三荘駅から徒歩2分、門真市・守口市で根管治療・インプラント治療・矯正治療・歯茎移植(歯肉移植)に強い歯医者、
すが歯科矯正歯科門真守口院大人こどもクリニックです。
当医院の理事長 菅 良宜は世界販売本数1位であるインプラントメーカー(Osstem社)のインプラント技術指導講師、日本口腔インプラント学会専門医、アメリカインプラント学会専門医の資格を有しています。
今回は、インプラント治療におけるサージカルガイドを用いたデジタルインプラントについてご説明します。
デジタル技術の進歩によって、私たちの日常生活もどんどん便利になってきていますが、 歯科医療においても近頃はデジタル技術が発展してきており、治療のスピード、 正確性、安全性などが目覚ましく進歩してきています。
「デジタルインプラント」 は、 3次元のCTの上でインプラントを埋め込むためのシュミレーションを行なって、 サージカルガイドと呼ばれる手術用の装置を製作し、シュミレーションと全く同じ位置にインプラントを埋め込むシステムです。
この方法により、インプラント治療の正確性や安全性が飛躍的に高まり、手術の時間も大幅に短縮され、 患者様の負担を減らすことが可能になります。
また、骨がしっかりある場合は、歯ぐきを切開する必要がなくなったり、インプラントを入れたその日に仮の歯を取り付けることも可能になりました。
患者さまが少しでも楽に快適にインプラント治療を受けていただけるために、インプラント治療においてデジタルインプラントシステムを採用しています。
インプラント治療は術者の経験と勘によって位置や方向が決められて、フリーハンドで手術が行われていました。
術者の経験によりますが、0、数ミリや0、数度はあるべき位置と異なるということがありました。
それはフリーハンドで1本のまっすぐな線を引くということを考えていただくと想像できるかと思います。
意外と難しいのではないでしょうか。
しかし、定規があればそれは非常に簡単な作業で、誰が引いても同じまっすぐな綺麗な直線が引けます。
デジタルインプラントで使用するサージカルガイドはこの定規と同じ役割を果たします。
サージカルガイドを使って、ドリルを使用すれば、正確な位置にインプラントを入れることができます。さらに手術前に綿密に計算された治療計画を用い、補綴(被せ物)主導型のインプラント治療が可能となります。
サージカルガイドとは、インプラントを埋める際に用いる装置で、サージカルガイドと専用のドリルを用いることで、インプラントを事前に撮影したCT画像で設定した理想的な位置に、正確にインプラントを埋めこむことが可能となります。
場合によっては歯茎を切り開くこともせずに、傷つけてはいけない神経や血管を対して安全な位置に、インプラントを事前にシュミレーションした深さ、角度を再現した正確な位置に埋めることができます。
サージカルガイドを用いることで、具体的に以下のようなメリットがあります。
①歯茎を切らないので痛み、腫れ、出血が少なくできる
②手術時間を短くできる
③安全に治療ができる
④多数歯の場合には事前に診断した被せ物の位置を正確に反映したインプラントの手術ができる
⑤抜歯と同時に正確な位置にインプラントを埋めることができる
特に数mm、数度の誤差で大きな影響がでる前歯の抜歯即時インプラントや奥歯のソケットリフトの場合に高い効果を発揮します。

複数本のインプラント治療を計画するときや前歯のインプラントは審美的に(見た目をよく)するために難易度は奥歯に比べて上がるため、サージカルガイドの使用をお勧めします。
複数本のインプラント治療でサージカルガイド用いない時の問題点とサージカルガイドを用いるメリットです。
複数本のsurgeryで発生する可能性がある問題点
インプラントの被せ物はスクリュー固定の方が良いがインプラントの埋める位置角度が悪いと、セメント固定しかできなくなる。さらに位置角度が悪いとセメント固定さえできなくなる。
↓スクリュー固定とセメント固定について以下参照
また、インプラントの軸方向の角度は図のようなインプラントを埋める反対の顎の歯の位置を考え、それに基づいて力がかかる軸方向を決定しなければならないが、この軸方向を3次元的に正確に決めることは困難である。
インプラントの上の被せ物を作成する際に軸方向の角度が正確でないと被せ物の装着時や装着後の安定に問題が起きる
複数本のサージカルガイド治療(Guided surgery)の長所
サージカルガイドを用いることでインプラントの埋める位置だけでなく、3次元的に完璧な軸方向へのインプラント治療が可能となる。この軸方向の問題は起きてから対処すると取り返しがつかず、最悪の場合、インプラントを撤去しないといけないこともある。このようなことが起きないように完璧な手術を求めている患者さまと何十年にわたる長期間のインプラント治療の成功を求める歯科医師にはサージカルガイドを用いるインプラント治療は必須であると私たち医療法人凌和会の歯科医師は考えます。
次に上あご前歯のインプラント治療でサージカルガイド用いない時の問題点とサージカルガイドを用いるメリットです。
上顎前歯部のsurgeryで発生する可能性がある問題点
1) 埋入位置のエラー
唇側(外側)に偏って埋入したため、生理的に辺縁骨の吸収(骨が溶けて、歯茎がやせる)が起こる
口蓋側(内側)に偏って埋入したため、Ridge-lapの形状の補綴形態(被せ物が変な形)となります。
2) 埋入深度のエラー
– 補綴物周囲の辺縁歯肉から歯肉溝の下までの距離が長くなる
– 歯周管理が難しくなり、長期的にインプラントplatform周囲の骨を喪失するリスクがある
– 歯が短くなったように見える
– Biologic widthの防御メカニズムにより垂直性の歯槽骨吸収が起こる
3) 埋入方向のエラー
軸が口蓋側(内側)に傾いて埋入すると非審美的(見た目の悪い)な補綴になります
軸が唇側(外側)に傾いて埋入するとScrew hole(ネジ穴)が唇側に位置します
これらのエラーを防ぐためにサージカルガイドを用いることで安全安心に正確にインプラント埋入できます。
上顎前歯部のサージカルガイド治療(Guided surgery)の長所
1) Top-down方式で、最適な位置にimplantの埋入が可能
– コンピューター上で歯を配列した後、インプラントのデザインimplant design を 被せ物からインプラントの位置を考える、補綴主導(Top-down)方式でCAD designを行う
– 理想的な形の補綴が可能な最適の位置にimplantの埋入が可能
2) コンピューター模擬手術で、正確かつ安全な手術が可能
– Guided surgeryサージカルガイドを用いて手術する際、事前にコンピューターで模擬施術を行い、解剖学的な要素を総合的に考慮して計画planningを行う
-神経や血管の穿孔などのリスクが減少
3)手術時、インプラントを埋入窩を形成するときに切削する方向が流れずに (Pathが離脱せずに)
手術計画通りに正確に埋入が可能
Guideを使わずに抜歯即時埋入時、傾いた残存骨によりdrilling中にすべる
サージカルガイドを用いた手術だとPathの離脱なしに正確な位置にdrillingが可能
サージカルガイド(OneGuide template)を利用し、熟練度に関係なく正確な埋入位置、深さ、方向にimplantの埋入が可能となります。
以下、奥歯の複数本のインプラントと上顎洞底の挙上を同時におこなう場合の実際のシュミレーション画像になります。
では、インプラント治療で難易度が高いと言われている前歯の抜歯即時インプラント治療の流れになります。(日米専門医とインプラントメーカーの技術指導講師をしている理事長 菅の症例です)
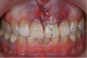
患者は50代女性前歯の破折を主訴に来院されました。
診査の結果、歯の根が割れており、保存困難となりました。抜歯せずにこのまま経過観察すると骨がなくなることになるため、話し合いの結果、右上の前歯(中切歯)を抜歯即時インプラント治療をすることになりました。
術前の写真です。
左上の前歯が根の部分で折れていました
シュミレーションガイドになります。
残念ながら抜歯をおこないサージカルガイドを用いて抜歯即時インプラントの手術をおこないました。







| 治療内容 | 前歯へのインプラント治療 |
| 治療期間 | 5ヶ月 |
| 治療費用 | 50万円( 税抜 ) |
| 副作用・リスク | 外科処置が伴うため、術後の疼痛・腫脹・出血・咬合痛などを生じる事があります。 麻酔を行う場合、腫れやむくみを生じる事があります。 また、被せ物や土台が外れたり、欠けたり、緩んだりする事があります。 |
このようにサージカルガイドを用いることで正確に安全で最短のインプラント治療が可能となります。
インプラント治療を検討しているが、痛みが苦手で恐怖感や、不安があり治療を迷われているという方は、ぜひ一度当院にご相談ください。
当医院の理事長 菅 良宜は世界販売本数1位であるインプラントメーカー(Osstem社)のインプラント技術指導講師、日本口腔インプラント学会専門医、アメリカインプラント学会専門医の資格を有しています。
サージカルガイドを用いたデジタルインプラントにより、より安全により確実に世界レベルのインプラント治療を患者さまに提供できます。
当医院では治療技術はもちろん、患者さまの心と向き合い診療していくことが大事と考えています。
それは理事長 菅 良宜の治療理念である
「人生を変える歯科治療を通じて患者様の人生を良くしたい」
という想いからです。
大阪でインプラントでお困りなら
電車で京橋からなら8分、守口市駅からなら1分の
京阪西三荘駅徒歩2分に位置しています。
カウンセリングは無料になります。お気軽にご相談ください。
門真市・守口市で根管治療・インプラント治療・矯正治療・歯茎移植(歯肉移植)に強い歯医者、すが歯科矯正歯科門真守口院大人こどもクリニックでは
24時間Web予約を受け付けております。
気になる点がある方は、ぜひ一度以下からご予約お待ちしております!
https://apo-toolboxes.stransa.co.jp/user/web/675/reservations
日本・アメリカ両国の専門医 理事長 菅 良宜によるインプラント治療
詳しい内容の専門サイトはこちら
https://www.suga-dent.com/implant/
症例ブログはこちら
https://www.suga-dent.com/case/implant/
執筆者
医療法人凌和会すが歯科矯正歯科
理事長 菅 良宜
治療理念
人生を変える歯科治療を通じて患者様の人生を良くしたい
Post views: 3,391 views