歯肉退縮

最新記事

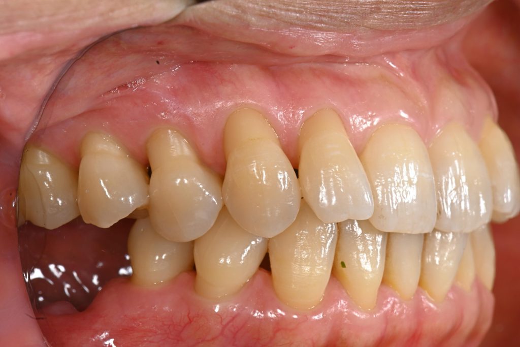
下顎歯肉退縮治療の症例

歯肉退縮

2023/12/13

下顎歯肉退縮治療の症例

皆さんこんにちは。大阪府門真市京阪沿線西三荘駅から徒歩2分、門真市・守口市で根管治療・インプラント治...

上顎歯肉退縮治療(多数歯)の症例

歯肉退縮

2023/09/21

上顎歯肉退縮治療(多数歯)の症例

皆さんこんにちは。大阪府門真市京阪沿線西三荘駅から徒歩2分、門真市・守口市で根管治療・インプラント治...

下顎歯肉退縮治療(1歯)の症例

歯肉退縮

2023/09/08

下顎歯肉退縮治療(1歯)の症例

皆さんこんにちは。大阪府門真市京阪沿線西三荘駅から徒歩2分、門真市・守口市で根管治療・インプラント治...

上下顎歯肉退縮治療(多数歯)の症例

歯肉退縮

2023/09/08

上下顎歯肉退縮治療(多数歯)の症例

皆さんこんにちは。大阪府門真市京阪沿線西三荘駅から徒歩2分、門真市・守口市で根管治療・インプラント治...

下顎歯肉退縮治療(多数歯)の症例

歯肉退縮

2023/09/08

下顎歯肉退縮治療(多数歯)の症例

皆さんこんにちは。大阪府門真市京阪沿線西三荘駅から徒歩2分、門真市・守口市で根管治療・インプラント治...

上顎歯肉退縮治療(1歯)の症例

歯肉退縮

2023/09/08

上顎歯肉退縮治療(1歯)の症例

皆さんこんにちは。大阪府門真市京阪沿線西三荘駅から徒歩2分、門真市・守口市で根管治療・インプラント治...

上顎歯肉退縮治療(多数歯)の症例

歯肉退縮

2023/09/08

上顎歯肉退縮治療(多数歯)の症例

皆さんこんにちは。大阪府門真市京阪沿線西三荘駅から徒歩2分、門真市・守口市で根管治療・インプラント治...

上顎歯肉退縮治療(多数歯)の症例

歯肉退縮

2023/09/07

上顎歯肉退縮治療(多数歯)の症例

皆さんこんにちは。大阪府門真市京阪沿線西三荘駅から徒歩2分、門真市・守口市で根管治療・インプラント治...

上顎歯肉退縮治療(多数歯)の症例

歯肉退縮

2023/09/07

上顎歯肉退縮治療(多数歯)の症例

皆さんこんにちは。大阪府門真市京阪沿線西三荘駅から徒歩2分、門真市・守口市で根管治療・インプラント治...