2023/09/13
開咬のインビザライン矯正
皆さんこんにちは。大阪府門真市京阪沿線西三荘駅から徒歩2分、門真市・守口市で根管治療・インプラント治療・矯正治療・歯茎移植(歯肉移植)に強い歯医者、
すが歯科矯正歯科大人こどもクリニック門真守口院です。
当医院の理事長 菅 良宜は日本、アメリカの噛み合わせ(かみあわせ)を知り尽くしている学会の専門医の資格を有しています。
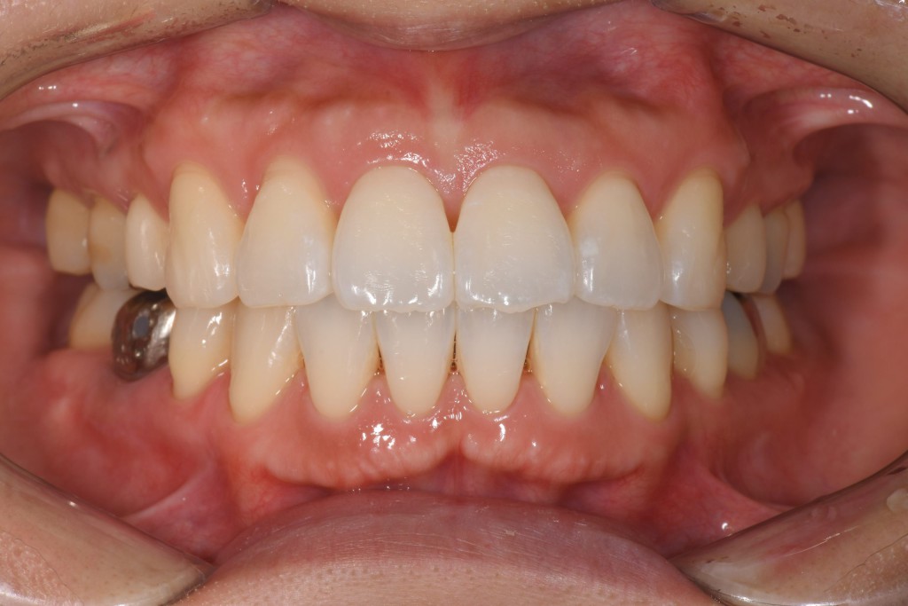
さて今回は開咬のインビザライン矯正治療(マウスピース矯正)の症例を紹介します。


| 治療内容 | インビザライン矯正(マウスピース矯正) |
| 治療期間 | 1年1ヶ月 |
| 治療費用 | 90万円(税抜) |
| 副作用・リスク | ・1日当りの必要装着時間の不足や担当医の指示通りに使用されない場合、治療計画に影響を与える場合があります。 ・次のステージのアライナーに交換した後に、歯の圧痛を感じることがあります。 ・歯肉、頬及び唇に、製品による擦り傷または痛みが生じる場合があります。 ・ 歯の移動のために、歯の削合が必要となる場合があります。 ・歯列矯正を行うことで、「ブラックトライアングル」が発生する可能性があります。 ・歯の寿命を縮める場合があり、追加的な補綴修復処置等の歯科治療が必要となる可能性、および、歯が失われる可能性があります。 また、過去に歯の損傷や大規模な補綴修復処置がなされていた場合、さらに悪化する可能性があります。 ・ 関節痛、頭痛または耳の障害が生じる場合があります。 |
当医院では治療技術はもちろん、患者さまの心と向き合い診療していくことが大事と考えています。
それは
理事長 菅 良宜
治療理念
人生を変える歯科治療を通じて患者様の人生を良くしたい
という想いからです。
大阪でガタガタ・すきっぱ・出っ歯・受け口・開咬などの歯並びでお困りなら
電車で京橋駅からなら8分,
守口市駅からなら1分の
京阪西三荘駅徒歩2分に位置しています。
カウンセリングは無料になります。お気軽にご相談ください。
門真市・守口市で根管治療・インプラント治療・矯正治療歯茎移植(歯肉移植)に強い歯医者、すが歯科矯正歯科大人こどもクリニック門真守口院では
24時間Web予約を受け付けております。
気になる点がある方は、ぜひ一度以下からご予約お待ちしております!
https://apo-toolboxes.stransa.co.jp/user/web/675/reservations
日本、アメリカ両国の噛み合わせ(かみあわせ)を知り尽くしている学会の専門医 理事長 菅 良宜によるマウスピース矯正治療
詳しい内容の専門サイトはこちら
https://www.suga-dent.com/invisalign/
症例ブログはこちら
https://www.suga-dent.com/case/invisalign-crowd/
https://www.suga-dent.com/case/invisalign-gapteeth/
https://www.suga-dent.com/case/invisalign-overbite/
https://www.suga-dent.com/case/invisalign-reverseocclusion/
https://www.suga-dent.com/case/invisalign-openbite/
執筆者
医療法人凌和会すが歯科矯正歯科
理事長 菅 良宜
治療理念
人生を変える歯科治療を通じて患者様の人生を良くしたい

Post views: 876 views