2024/04/18
奥歯のインプラントの症例
皆さんこんにちは。
大阪府門真市京阪沿線西三荘駅から徒歩2分、門真市・守口市で根管治療・インプラント治療・矯正治療・歯茎移植(歯肉移植)に強い歯医者、すが歯科矯正歯科大人こどもクリニック門真守口院です。
当医院の理事長 菅 良宜は日本口腔インプラント学会専門医、アメリカインプラント学会専門医の資格を有し、さらに世界シェア2位のインプラントメーカー(Osstem社)の講師として歯科医師の技術指導にも携わっております。
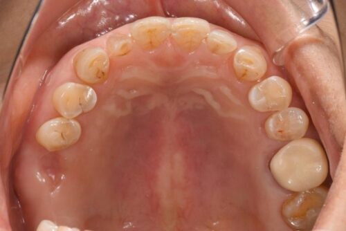
さて今回は、奥歯のインプラント治療の症例を紹介します。
【治療前】

【治療後】

| 治療内容 | 上顎奥歯のインプラント治療 |
| 治療期間 | 2ヶ月 |
| 治療費用 | 31万円( 税抜 ) |
| 副作用・リスク | 外科処置が伴うため、術後の疼痛・腫脹・出血・咬合痛などを生じる事があります。 麻酔を行う場合、腫れやむくみを生じる事があります。 また、被せ物や土台が外れたり、欠けたり、緩んだりする事があります。 |
当医院では、理事長 菅 良宜の治療理念「人生を変える歯科治療を通じて患者様の人生を良くしたい」という想いのもと、治療技術だけでなく、患者さまの心と向き合って診療していくことも大事にしております。
大阪にお住まいでインプラントでお困りの方は、ぜひ当院にお越しください。当院は電車で京橋からなら8分、守口市駅からなら1分、京阪西三荘駅からは徒歩2分と、アクセスの抜群です。
*カウンセリングは無料です!
インプラント治療のカウンセリングは無料で行っております。検討している方や気になる方はお気軽にご相談ください。
当院は24時間Web予約も受け付けております。
以下からご予約をお待ちしております。
予約はこちら▼
https://apo-toolboxes.stransa.co.jp/user/web/675/reservations
日本・アメリカ両国の専門医 理事長 菅 良宜によるインプラント治療
詳しい内容の専門サイトはこちら▼
https://www.suga-dent.com/implant/
症例ブログはこちら▼
https://www.suga-dent.com/case/implant/

執筆者
医療法人凌和会すが歯科矯正歯科
理事長 菅 良宜
治療理念
人生を変える歯科治療を通じて患者様の人生を良くしたい
Post views: 574 views